
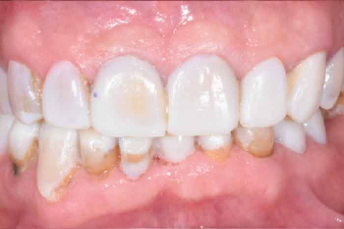
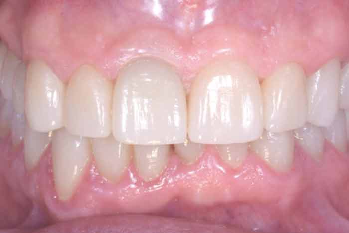
Prima visita
Il primo appuntamento avrà “solamente” lo scopo di CONOSCERCI. È infatti fondamentale fin da subito cercare di capire insieme qual è il tuo desiderio.Tutti vogliono riavere il sorriso, ma ognuno ha esigenze diverse. Dopo aver “inquadrato” i tuoi desideri, ti verrà data un’ordine di grandezza di quella che potrebbe essere la spesa del tuo lavoro. Se a questo punto avremo catturato il vostro interesse potrete prendere appuntamento per eseguire lo studio del caso per poi procedere all’intervento.



